Traditional veneers are generally more aggressive and irreversible procedure. The advances in dentistry have been remarkable in recent years especially when it comes to porcelain veneers. This technique does not require traditional extensive preparation and long weeks of procedures and visits. Porcelain veneers are invasive and typically eliminates the need for anesthetics or shots, so while you are at it, you feel great and look great. To deliver the signature benefits of porcelain veneers, our experts at Dr. Aburas Dental Center are highly skilled and trained to give you the best.
Why Porcelain?
Material of preference which can replicate the enamel and thin as a contact lens. It can bond to the teeth surface especially in the front tooth. You can easily get a natural appearance with the help of Porcelain. It is also easy for the dentist to use this magical material which can bring back your beautiful smile. They are utilized for many purposes including changing the size of crooked or broken tooth, changing the color of pale or tinted smile, making your teeth symmetric.
The color of the tooth changes gradually over time with age. The consumption of colored and deterring food can also affect the natural enamel color making them visibly pale. Opting for dental veneers has the ability of masking all the spots and yellow color giving whiter and the brighter teeth.
Preparation of Teeth for Veneers
Before going through the procedure, it is essential to discuss all your problems you would like to correct and also, the smile you would like to have. A smile makeover is collaboration between you and your dentist. Have a trial run before fitting, your dentist may be able to create a life-size exact model of your teeth and then shape veneers onto the model to give you a preview of what can be achieved.
When you are satisfied that your dentist understands what exact changes you would like, your teeth will be prepared for veneers. A local anaestheticmay be needed during the procedure to avoid discomfort.
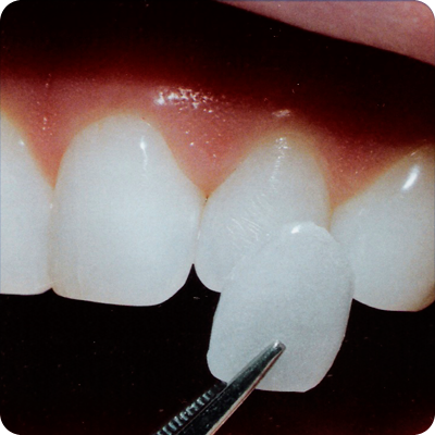
The dentist will remove some of the outer enamel surface of the tooth to make sure that the veneer can be fitted properly.
The colour is matched with the surrounding teeth to make sure that the veneer looks entirely natural.
Once the tooth has been prepared, an impression of them is made and sent to the dental technicians to create an exact replica of the teeth upon which the veneers will be made.
Bonding a veneer in place is done with an adhesive, which holds firmly on the tooth.
Ask Your Dental Professional
Talent and skills are required to produce porcelain veneers. A qualified cosmetic dentist should be able to understand the level of art necessary. Since beautiful veneers don't come cheaply, you should ask your dentist about:
Experience: Number of cases dealt in the last/current year.
Materials: Not all veneers are made from the same material. Porcelain is proven to be durable with proper dental care.
Lastly, the cost. Find out financing options, and start from there.