For a long time now, people are depending on medicinal tourism for possible corrective surgery. After that, restorative travel has further extended its wings and now cover non-corrective ranges like orthopedic, hernias, waterfalls, heart surgery, dentistry and more. Therapeutic tourism center points offer fantastic medicinal treatment at an extremely sensible cost. It's proposed common sense makes this restorative buzz a developing pattern everywhere throughout the world. It's incredibly unique nature is ascribed to the converging of the human services industry, furthermore the tourism business.

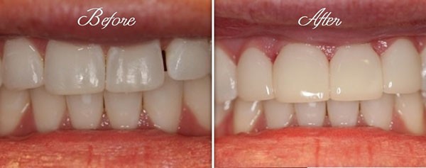
So what indeed makes medicinal tourism truly well known? The primary explanation behind its ubiquity is that it offers top notch therapeutic administrations at a moderate spending plan. If you are tingling to know the nations best known dental clinic for therapeutic tourism. Dubai is incorporated as the quick rising travel destination.
Dubai is rich in expert advice and excellent dental practitioners that will beyond any doubt help your stresses in regards to numerous dental issues. It is normal that individuals particularly the youngsters fear to visit a dental specialist. You can even approach local people for input in regards to the best dental facility in Dubai. Request dental professionals that would deal with all your dental needs and if you have found the right dental specialist for you, then you can't turn out badly.
When searching for a dental center in Dubai, there are a few elements you have to consider first. You have to know the instructive capabilities of a dental practitioner. If you feel that this specialist is sufficiently dependable, then you have fulfilled your first errand in finding the perfect dental practitioner for you.
The fundamental motivation behind why dental specialists are dreaded by numerous, is due to the agony connected with each dental system. Each dentist has unique levels of agony resilience. Noa Dental Clinic is imperative, particularly if these variables are available: extended techniques, automatic developments of patients, adolescent patients and those that effectively experience the ill effects of fits and anxiety. The tranquilizers used to have a natural dental strategy can be oral, topical, or intravenous. Along these lines, if you have little resistance to torment and any dental technique, then you have to locate a dental clinic in Dubai that offers sedation dentistry. A skilled dental practitioner will know first if the narcotic would fit the method suited to you.
If you are disturbed with your dental issues while on a visit to the sublime city of Dubai, additionally require investment to visit the dental centers in this city so you can blend your pleasure and in the meantime address your dental needs.